В Рязани врачи оказали помощь 69-летнему пациенту с гнойным процессом в печени. Об этом сообщили в пресс-службе регионального министерства здравоохранения.
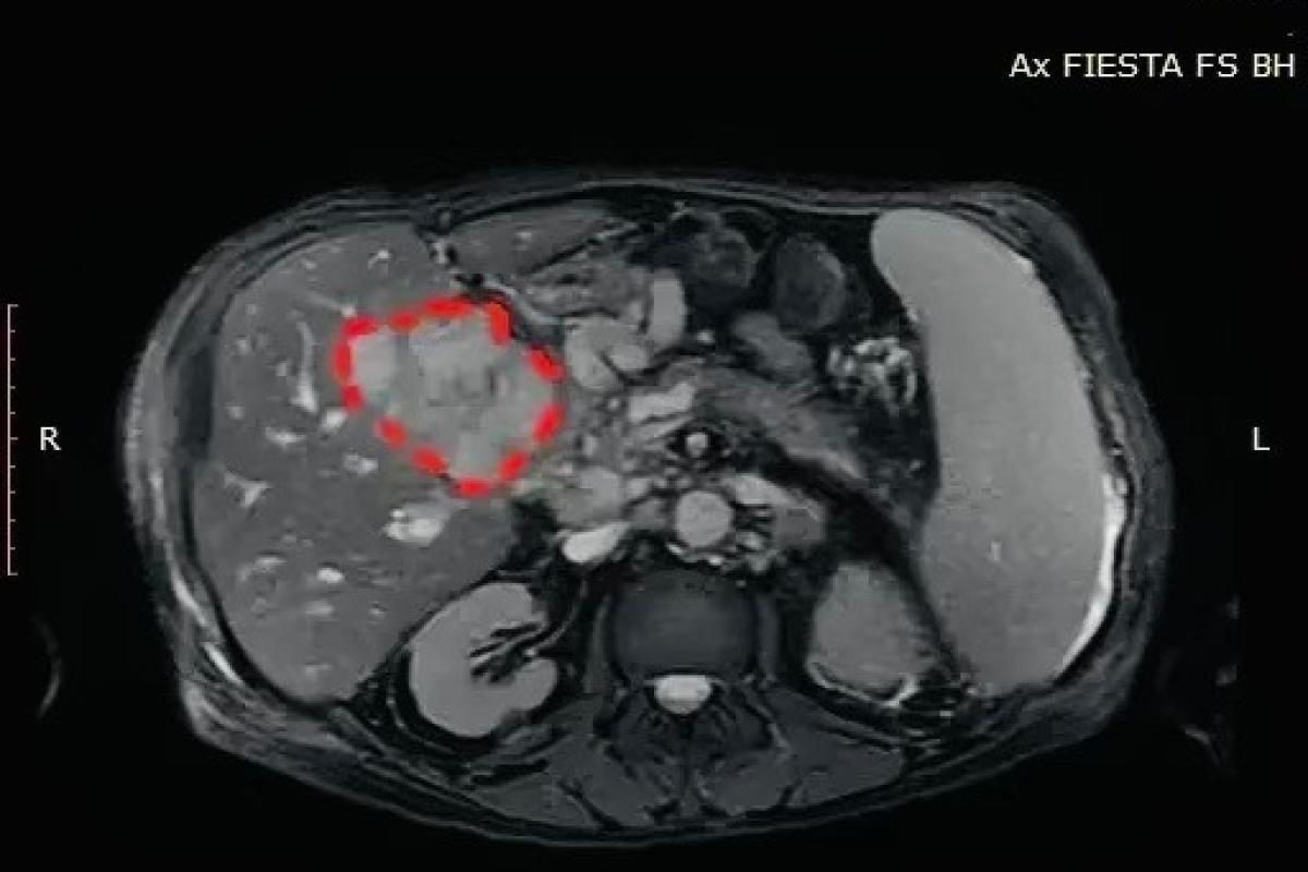
Мужчина поступил в областную клиническую больницу с жалобами на интенсивную боль в животе, повышение температуры и выраженную слабость. По итогам обследования медики установили, что в печени и желчном пузыре образовалось скопление гноя. Состояние осложнялось отеком окружающих тканей, что создавало риск повреждения важных протоков и развития сильного кровотечения при проведении хирургического вмешательства.
Операцию выполнили под местной анестезией с использованием ультразвукового контроля. Через прокол кожи и ткани печени врачи получили доступ к очагу воспаления и удалили около 150 миллилитров гноя. После проведенной процедуры температура у пациента снизилась, болевой синдром исчез.
Мужчину выписали домой с установленным дренажом, чтобы предотвратить повторное накопление гнойного содержимого. В министерстве уточнили, что после заживления тканей и уменьшения воспалительного процесса пациенту планируется проведение плановой операции на желчном пузыре.
Читайте также:
- С 1 апреля грозят изменения в правилах езды для российских водителей
- Эксперты рассказали, что ждет рынок недвижимости в РФ в ближайшие годы
- Плату за свет и мусор снизят после масштабной проверки сферы ЖКХ
- Названо 5 законных способов реально увеличить пенсию в 2026 году
- Россиянам объяснили, какой максимальный размер страховой пенсии возможен
